Pediatric Dentistry
Pediatric Dentistry – Innocent Smiles Need Better Oral Care
Dental care for kids has a completely different meaning; our clinic prioritizes winning their confidence to ensure delivering the most comfortable & special dental solution every time. Those parents who are anxious about their child’s first dental checkup or seeking professional care in a safe environment should trust our qualified pediatric specialists. They are well-trained and experienced in treating your kids & toddlers with dedicated care, and also offer a nurturing environment to every child.
Early Care
Pediatric Dentistry – Innocent Smiles Need Better Oral Care
Dental care for kids has a completely different meaning; our clinic prioritizes winning their confidence to ensure delivering the most comfortable & special dental solution every time. Those parents who are anxious about their child’s first dental checkup or seeking professional care in a safe environment should trust our qualified pediatric specialists. They are well-trained and experienced in treating your kids & toddlers with dedicated care, and also offer a nurturing
environment to every child.
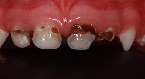
Before
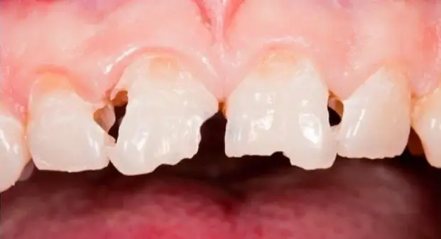
After
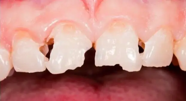
Before
After
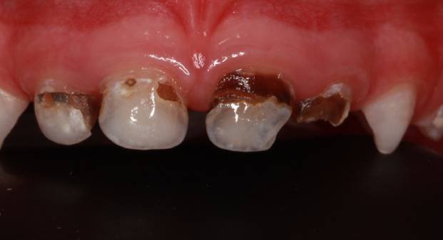
Before
After
Early Care
Take Care of Your Child’s Oral Health for Vibrant Smile in the Future
Modern pediatric dentistry at our top-notch dental studio is rooted in nurturing a strong foundation for healthy smiles from their first tooth. By following the guidelines of American Academy Pediatric dentistry, we also endorse parents to plan their kids’ consultation with pediatric dentists, beginning from eruption of first tooth before first birthday. Our pediatric
specialists encourage early dental checkups to make preventive care possible by monitoring proper development and guiding daily care and brushing with healthy habits & balanced nutrition to protect from future dental problems. Our pediatric-focused approach includes modern technology and clinical empathetic approaches, ensuring your child’s every visit is comfortable, positive & calmer.
Dr. Aimen Zia
BDS, RDS, C-Endo, C-Ortho, C-Implant, General-Cosmetic-Pediatric Dentist, Member AACD(USA) & AAPD(USA), Faculty Affiliate, RCS(Edinburg), RCS(Ireland), DHA Certified (Dubai), Invisible Aligners Expert
Trusted Pediatric Oral Services at Our Dental Studio
At the premier dental clinic, we offer advanced & full-spectrum pediatric oral solutions utilizing industry-leading kid-sensitive techniques & state-of-the-art technology.
- Early Identification or Oral Assessment: Observing tooth growth, dental hygiene & bite alignment from a very young age.
- Non-invasive Cavity Solutions: Advanced air-abrasion & laser-focused technology is utilized for pain-free, gentle treatment.
- Fluoride Management & Preemptive Sealants: Provide support for tooth development & offer cavity prevention.
- Orthodontic Assessment & Space Maintainers: Encouraging correct tooth alignment while erupting.
- Urgent Pediatric Oral Care: Emergency solution for dental injuries & knocked-out teeth, providing relief from tooth pain.
- Child-safe, Modern Sedation Dentistry: Providing anxiety-free, calm dental solutions
by utilizing clinically secured & well-observed sedation techniques. - Counseling for Harmful Habit: Managing tongue thrusting, thumb habit, & primary orthodontic issues.
We Offer Following Advanced Pediatric Oral Solutions
- Myofunctional Therapy
- Crossbite Correction
- Habit Breakers
- Fixed Space Retainers
- Space Maintainers
- Removable Interim Partial Dentures
- You want an expert second opinion for your baby’s care? We offer specialists’ help.
- Silver Diamine Fluoride: Painless cavity solution, fluoride-supported oral treatment.
- Myobrace: Habit correction for a child, the orthodontic mechanism naturally aligns teeth.
- General Anesthesia for Kids: Controlled approaches make dental care safer for kids.
Need a complimentary second opinion for your child?
Treat cavities with a drop of medicine.
Straighten your child's teeth the natural way.
We make it easier for your little ones.
Frequently Asked Questions
1. What is the role of pediatric dentistry in kids’ healthy lives?
Pediatric dentistry is the foundation of healthy dental conditions, designed to shape permanent oral habits for life. We prioritize early care & preventive approaches that include early identification of oral concerns while instructing about hygiene & nutrition. The routine visit to a pediatric dentist can help your kids understand, learn & develop healthy habits, including brushing, a nutritional diet & frequent dental checkup. These are crucial guidelines that minimize the risk of oral problems in the future while encouraging a healthy lifestyle & positive perception toward dental care.
2. Is there any difference between pediatric dentistry & general dentistry?
Pediatric dentistry is a modern approach that delves deeper with extra training in kids’ growth, behavior & development. The best part of pediatric dentistry is that it’s carried out by specialists who have vast knowledge, understanding & experience to communicate with kids, controlling dental stress & offering age-focused, gentle dental care. General dentists are not trained & experts in managing child-sensitive dental problem, unlike them, pediatric experts emphasize
specifically on children of every age, providing oral care customized to every young smile.
3. How do parents handle their kids’ fear of dental procedures or dentists?
Some children have dental fear & it’s very common; that’s why our dental team & staff offer a supportive, safe & child-friendly environment. The natural connection between Dr. Aiman Zia’s studio and kids is nothing new, utilizing friendly communication, distraction approaches & positive enhancement to ease kids’ anxiety. Children with extreme anxiety are treated with a variety of secure conscious anesthesia options. Our clinic’s oral procedures for kids ensure
assurance & trust so that your kids view dental checkups as exciting, educational & entirely anxiety-free practices.
4. What is the process of a pediatric oral checkup?
5. Why are temporary teeth essential?
The primary teeth of a child are crucial, as they set the foundation for chewing, speech & directing permanent teeth towards an accurate position. With innovative pediatric dentistry techniques, we draw our focus on protecting premature teeth and monitoring growth until they
fall. Temporary tooth or unattended cavities may trigger misalignment & cause problems in the development of permanent teeth. Proper maintenance & preventive care can help put a stable base for healthy & strong mature smiles in later life.
6. What is the right way to prevent a child’s teeth from cavities?
Daily care is the key to protecting against cavities. Avoiding sugary foods, maintaining healthy lifestyle & routine dental visits are additional preventive measures. Similarly, we provide specialized cleaning, nurturing care, dental sealants & fluoride solutions that secure enamel.
