Guided Biofilm Therapy in Dubai
Advancing The Dental Cleaning and Prevention
GBT (Guided Biofilm Therapy) is an advanced and modern minimally invasive technology for dental hygiene that provides safe, gentle and highly effective cleaning process. At Dr. Aimen Zia Dental Clinic, we offer this advanced technology to help our patients in preventing gum diseases, maintaining a good long-term oral health by enjoying a brighter smile without any discomfort.
Apart from traditional scaling methods, GBT process uses cutting-edge technology and evidence-based protocols to find and remove plaque(biofilm) easily and effectively. This process doesn’t involve any kind of scraping, it is pain free. It is perfect for children, seniors and those patients who have anxiety issues.
What is Guided Biofilm Therapy?
How it works:
- Dental plaque gets highlighted with a non-toxic dye to see the bacteria easily.
- Biofilm and tartar get removed gently by using Airflow Tooth Polishing.
- Deeper scaling by using ultrasonic tools without damaging the gums and teeth, if it is necessary.
- Final verification to make sure the mouth is completely biofilm-free.
Why Choose Guided Biofilm Therapy Over Traditional Cleaning?
- Traditional cleaning usually involves scraping because of this invisible plaque can be missed. By GBT Dental, we have done this process smoothly without leaving any plaque. The reason why our patients love it is:
- It is minimally invasive and pain-free
- It is safe for implants, orthodontics, and crowns.
- It can reduce inflammation and bleeding gums.
- This process can eliminate bad-breath which is caused by bacteria.
- Requires shorter cleaning time with more bacteria results.
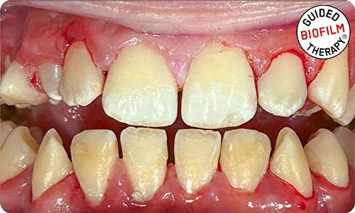
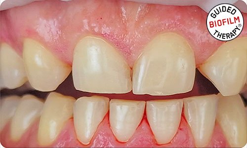
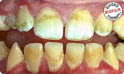
Before
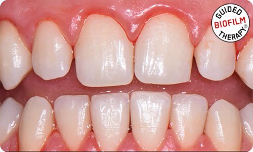
After
Before
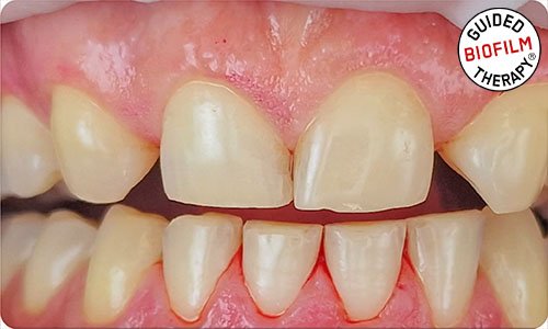
After
Before
After
Before
After
Before
After
Frequently Asked Questions
1. What is guided biofilm therapy and how it is different to traditional cleaning?
Guided biofilm therapy in Dubai is a modern procedure of dental cleaning that consists of destroying plaque and biofilm by a special dye and guided biofilm therapy dental instruments. Compared to conventional methods which require scraping, GBT has both the air-polishing and ultrasonic technology, thus, painless and accurate. It is much friendlier and more efficient, particularly with sensitive patients, children, and even with braces and implants.
2. How frequently is guided biofilm therapy performed?
The guided biofilm treatment in Dubai is conducted more frequently based on the personal state of your oral health. The vast majority of patients positively respond to receiving GBT within the period of 4 to 6 months. In case of a history of gum problems or usage of braces, your dentist might advise you to make visits more frequently. Regular visits can make sure that the method of biofilm teeth cleaning does not leave your gums and teeth in their worst conditions.
3. Is GBT child-friendly?
Absolutely. The guided biofilm therapy in Dubai is mild even to children and teenagers. It is an ideal introduction of young patients to the professional cleanings that may not evoke fear of discomfort. And the disclosing agents allow helping in instruction in kids about the plaque and the better way to brush. Parents also value how GBT dental care continues to make smiles healthy.
4. What is airflow guided biofilm therapy and why this therapy is effective?
Airflow guided biofilm therapy is one of the elements of the GBT process whereby a formulation of air, warm water and fine powder are applied under the polishing and removing some of the plaque in order to smooth it out. It accesses places that cannot be reached by brushing and flossing. The result is that there is a fresher and more comfortable outcome that leaves your teeth feeling incredibly smooth. It can also be considered more effective as compared to the old school means of reducing bacteria.
5. Is enamel and gums safe by airflow tooth polishing?
Yes, airflow tooth polishing is safe and non- invasive. It differs with abrasive procedures as it removes bits of debris and plaque using regulated air and water pressure, and it does not damage enamel or soft tissue. Sensitive patients or implanted patients particularly take advantage of this means. It is also regularly chosen by individuals seeking airflow teeth cleaning near me because it can be accomplished rapidly, safely, and effectively.
6. How can I find an airflow teeth cleaning near me?
Are you on the hunt to find airflow teeth cleaning near me? Then look no further. We do the guided biofilm therapy in Dubai at our clinic with the latest airflow systems which clean your teeth accurately and carefully. Whether you are just doing a regular cleaning or have more specialized biofilm teeth cleaning, we want to make your comfort and outcome our priority. Reserve your spot now and get a personal experience.
