The Ultimate
Hollywood Smile Makeover
Hollywood Smile in Dubai
Dubai is a city where appearance and smiles play a significant role in professional life, making it an ideal place to undergo a smile transformation. This is why the Hollywood smile, which offers glittering white teeth, has surprisingly become the most famous cosmetic solution. This cosmetic dentistry solution provides a personalized makeover, a fusion of natural aesthetics and precision. This makeover focuses on functionality & beauty, improving confidence with a sparkling, lasting smile that complements your facial structure & individual personality.
Be Confident in Your Smile
A beautiful smile reflects your heart, inner strength & defines the way you are perceived in professional & personal life. improvement in smile optimizes self-esteem in your entire self & behavior, and it generally appears in your conduct & speech. This is why people opt for Hollywood smile transformation, an innovative solution designed to enhance harmony & transform a smile into your true personality signature.
Smile Improvements & Restorations
- Our team of professionals performs Hollywood smile with great perfection & precision, perfect treatment for mild & complicated dental restorations
- Lasting options for replacing a missing tooth, providing long-term function
- Enhance real tooth structure, fix cracks, chips & uneven areas using expertise
- Restore discoloration, worn tooth, stains, bringing a brighter, seamless smile with a pure natural look
- Improvement of chewing issues & bite problems using modern restorative methods
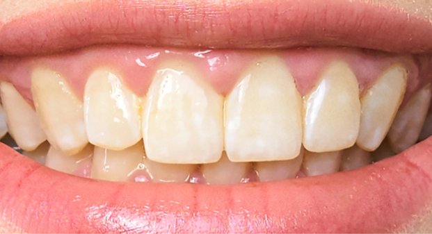
Before
After
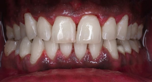
Before
After
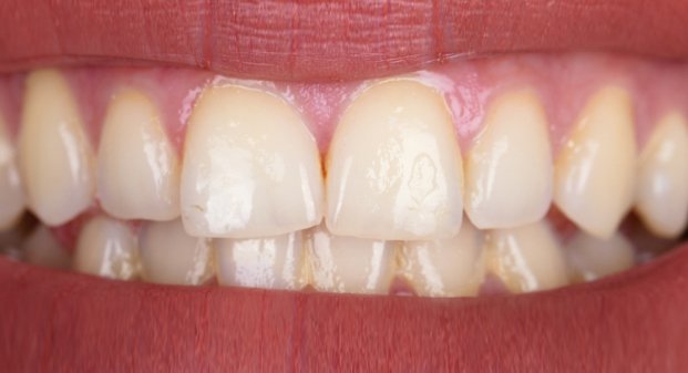
Before
After
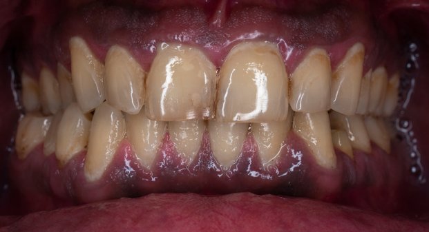
Before
After
Before
After
Digital Smile Design
Take Charge of Your Own Smile
- Make an improved smile with digital smile design, allowing patients to join & modify in the creation, helping to create a personalized smile
- 3D scans of dental condition & facial structure, giving a precise high-definition preview
- View makeover result before procedure, offering satisfaction & confidence in success
- We offer a more balanced, precise & uniquely customized Hollywood smile makeover for you
- Harmonious, natural smile, reflecting charm in your personality & self-confidence
Align, Bleach & Bond
Frequently Asked Questions
Who is a good candidate for a Hollywood Smile Makeover?
What is the total time duration of this Hollywood smile procedure?
What is the expected life of a Hollywood smile transformation?
Are there any risks of a Hollywood smile transformation?
Is a Hollywood smile just a cosmetic makeover, or is this treatment also optimized to improve dental functioning?
What is the right way to maintain a precious Hollywood smile makeover?
Maintaining a Hollywood smile is not difficult; proper daily care with simple cleaning is crucial for durability.
Following these simple caring tips can help you preserve your glowing Hollywood smile:
- Practice daily brushing using a gentle or fluoride toothpaste, regular flossing, & attending dental visits for professional cleaning
- Don’t intake too much coffee, tea & smoking, minimize staining
- Avoid chewing or biting tough foods, nails, or ice to save your veneers
- Routine oral check-up keeps your Hollywood smile safe, functional & healthy
- Care & maintenance are vital to preserve the brilliance & whiten transformed smile, optimizing to improve confidence for several years
