Composite Veneers in Dubai
Redefine Your Smile with an Art of a Perfect Smile
Smile with heart! it is your biggest asset reflecting in your personality, charm, appearance and confidence. We excel in the art of smile makeover, turning normal smile into naturally looking, beautiful smiles through advanced cosmetic solutions.
Composite veneer is thin-layered resin material, exactly matching color of tooth directly fixed & shaped on the exterior of your natural teeth. Our dentists specialize and offer brilliance of smile transformation with composite veneers, an effective, quick & affordable treatment to fix dental imperfection and allow your smile shine at its best. We use premium composite materials, imitating the natural-like translucency & appearance of enamel, ensuring perfectly beautiful smile.
Composite Veneers
Instantly Enhance Your Smile With Composite Veneers
A beautiful, balanced smile leaves a lasting impression — and composite veneers are an excellent way to achieve that quickly and affordably. At Dr Aimen Zia Dental Clinic, we use composite veneers to reshape, restore, and enhance your natural teeth with minimal preparation.
Composite veneers are made from a tooth-colored resin that is skillfully applied and sculpted directly onto your teeth. They’re ideal for fixing chips, gaps, discolored teeth, or slight misalignments — all in just one visit.
Make Your Smile Unforgettable
COMPOSITE VENEERS
- Cracked or chipped teeth
- Discoloration or stained teeth
- Minor Misalignment
- Uneven teeth
- Small gaps between teeth
Who can get composite veneers treatment?
If you want a radiant smile transformation without getting into the hassle of permanent veneers, composite veneer is the right option for you.
- Previous filling looks unaesthetic
- Unequal teeth size
- Spot, darkening & yellowing of teeth
- Increase in friction & angle imperfection of teeth
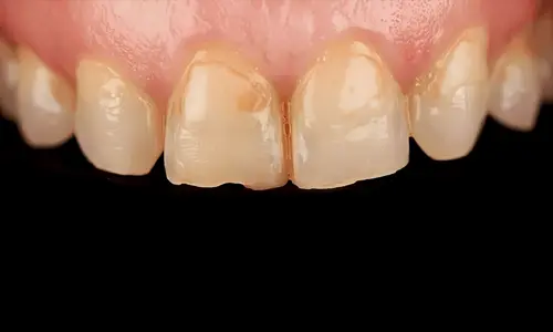
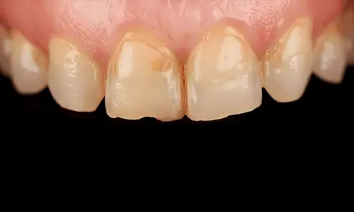
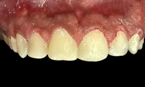
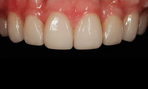
Before
After
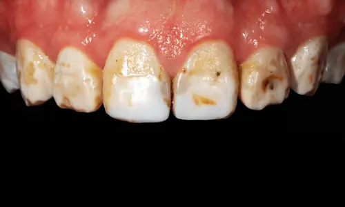
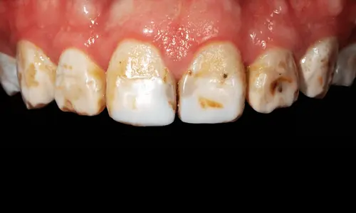
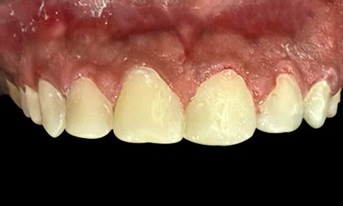
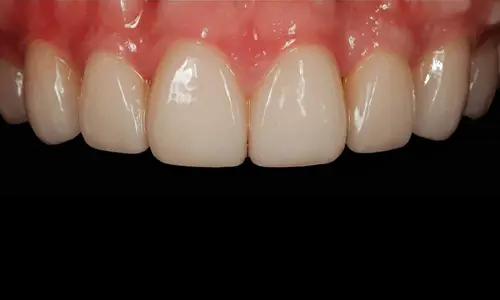
Before
After
Before
After
Before
After
- Zirconia Veneers
- E-max Veneers
- Feldspathic
- Partials feldspathic
- Compostie Veneers
- Composite Bonding
- Teeth Whitening Treatments
- Gum Disease Treatment
- Veneers and Smile Makeovers
- Full and Partial Dentures
- Crowns and Bridges
- Dental Fillings
- Oral Cancer Screening
- Tooth Extraction
Frequently Asked Questions
What is the cost of composite veneers in Dubai?
Unlike other dental cosmetic solutions, like porcelain veneers and dental crowns, composite veneers are a very cost-efficient and quick treatment. However, the cost of these veneers may vary due to factors, like popular dental clinics, very experienced dentists, etc., but the cost of composite can be varied from AED 800 to AED 1500/each tooth.
Composite Veneers are quite affordable than Emax or porcelain veneers, presenting first-class cosmetic results without paying hefty cost.
How long can composite veneers last?
Composites are not highly durable, but they can last 5 to 7 years, which depends on your lifestyle habits, eating routine, and regular care of daily hygiene. Visiting dental clinic on every 4 to 6 months for proper check ups can keep your veneers in good condition.
In case composite veneer wear down or chips, it can be fixed immediately without any full replacement.
Does composite veneer look like natural teeth?
Composite veneers offer a look of natural teeth, crafted to impersonate the original shine and translucency of enamel. Resin is the material used to craft composite veneers; it is polished & shaped for exceptional appearance of the patient’s smile. This personalization is crucial for desired results that seem natural and blend flawlessly with the remaining teeth.
Those who are in search of stain-resistant, lasting veneers options, we also provide Porcelain veneers and Emax Veneers, well-known for their longevity and natural-looking brighter finish.
Can composite veneers be a good substitute for porcelain?
How durable is composite veneer?
Are composite veneers removable?
These veneers are reversible & removable because they need very little enamel removal. In contrast to porcelain veneers, composite veneers do require temporary modification in the original tooth structure. This makes composite a flexible option for those who wish to try something new and change, and can remove it later without getting a lasting or deep impact on their teeth.
