Dental Implants in Dubai
Future of Permanent Dentistry Solution & Smile
Lost or missing teeth can be the issue that causes problems with eating ability and also shakes the person’s confidence level. How good it could be if there were a lasting solution for missing teeth? Here comes a new-generation, life-changing treatment, Dental implants, offering a safe, natural & permanent way to restore a beautiful smile.
In our dental clinic, we incorporate revolutionary implant technology with top-of-the-line excellence to offer you a smile that seems & feels purely natural. If it’s about replacing a tooth or complete mouth restoration, the treatment of dental implants delivers supreme stability, aesthetics, & comfort.
Dental Implants in Dubai
Restore Your Confidence With A Permanent Smile
Lost teeth may be a real problem, not only exhibiting the ability to eat, but the confidence in oneself as well. Then, here comes dental implants in Dubai: permanent, natural looking way to get your smile back.
Our specialized implant procedures are specifically customized to fit your requirements and lifestyle. No matter the number of teeth you are missing, we have individual programs and you will be performing it with skilled implantologist using modern technologies and instruments.
Goodbye to gaps and hello to strong, secure and beautiful smile- after all we all deserve to live our best lives without reservation.
Safe & Stress-Free Anaesthesia Procedures
The priority is your comfort. The implants applied at our clinic are done carefully through the latest methods of pain management. We provide various options to undergo safe anaesthesia so you could stave off throughout the whole process.
1. All-on-4 dental Implants
Restoring a full arch, smile transformation; ideal for maximum teeth loss, natural-looking,
comfortable & reliable teeth replacement.
3. Same-Day Dental Implants
When you want a smile transformation in a single appointment, these implants provide same-day function, a confident smile with aesthetics.
5. Bone Graft And Sinus Lift
2. All-on-6 Dental Implants
4. 3D Guide Dental Implants
6. Zygomatic Implants
Features of Dental Implants
at Dr Aimen Zia Dental Care
- Natural feel & appearance – effortlessly blend with original teeth
- Permanent Solution – Anchored deep in the jawbone for excellent stability & durability
- Effective for speech & chewing function – Restoration of functions to help you enjoy eating food
- Secure Jawbone Health – Prevent facial structure & stimulate overall jawbone
- Enhance beauty & confidence – Smile without clicking or slipping of teeth
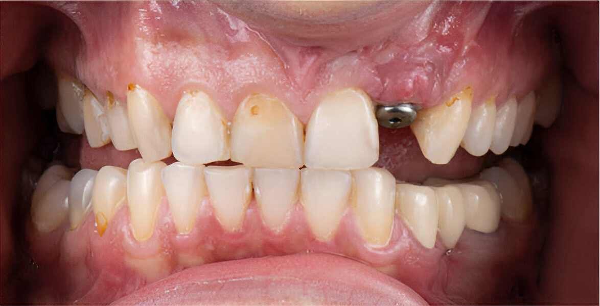
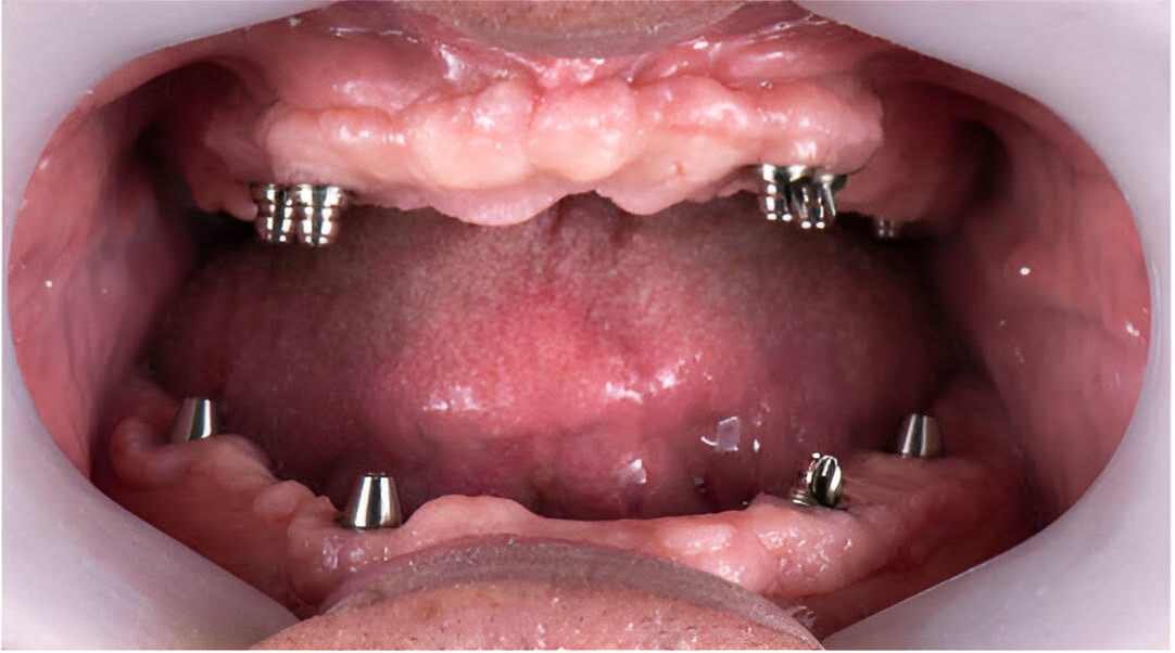
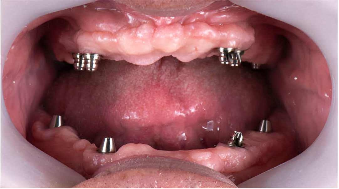
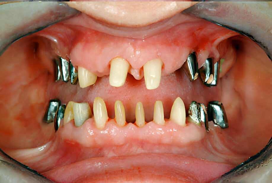
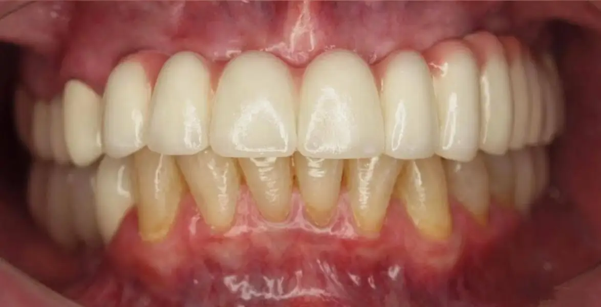
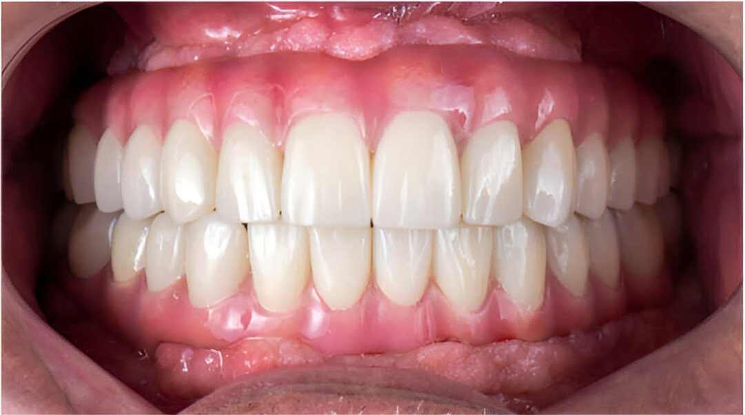
Before
After
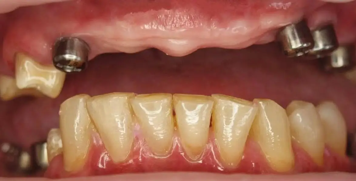
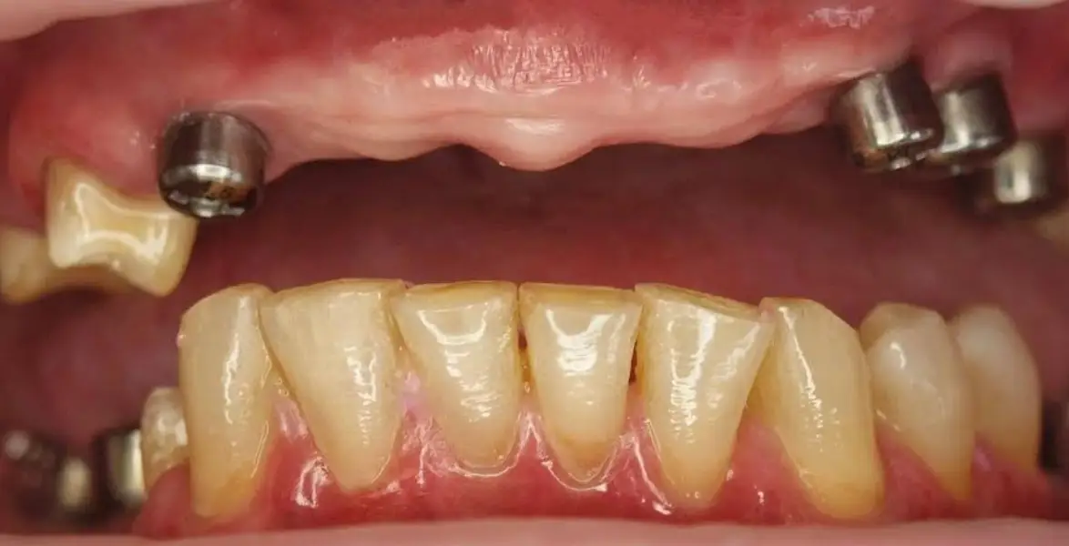
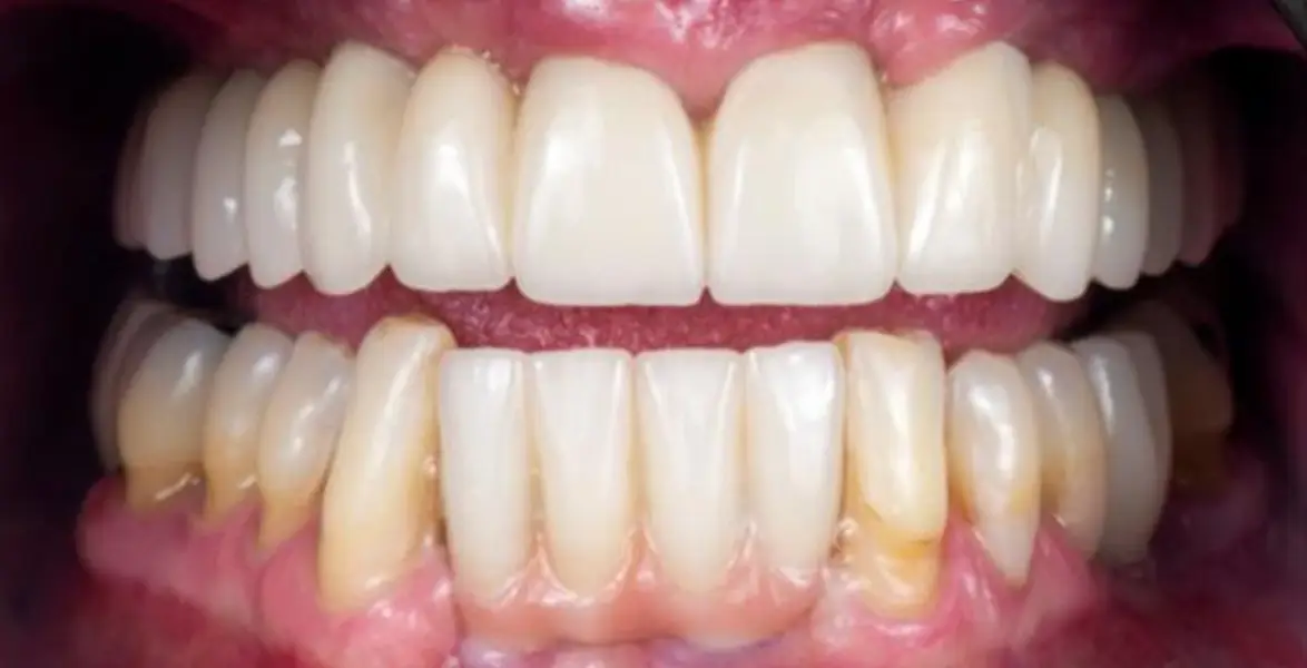
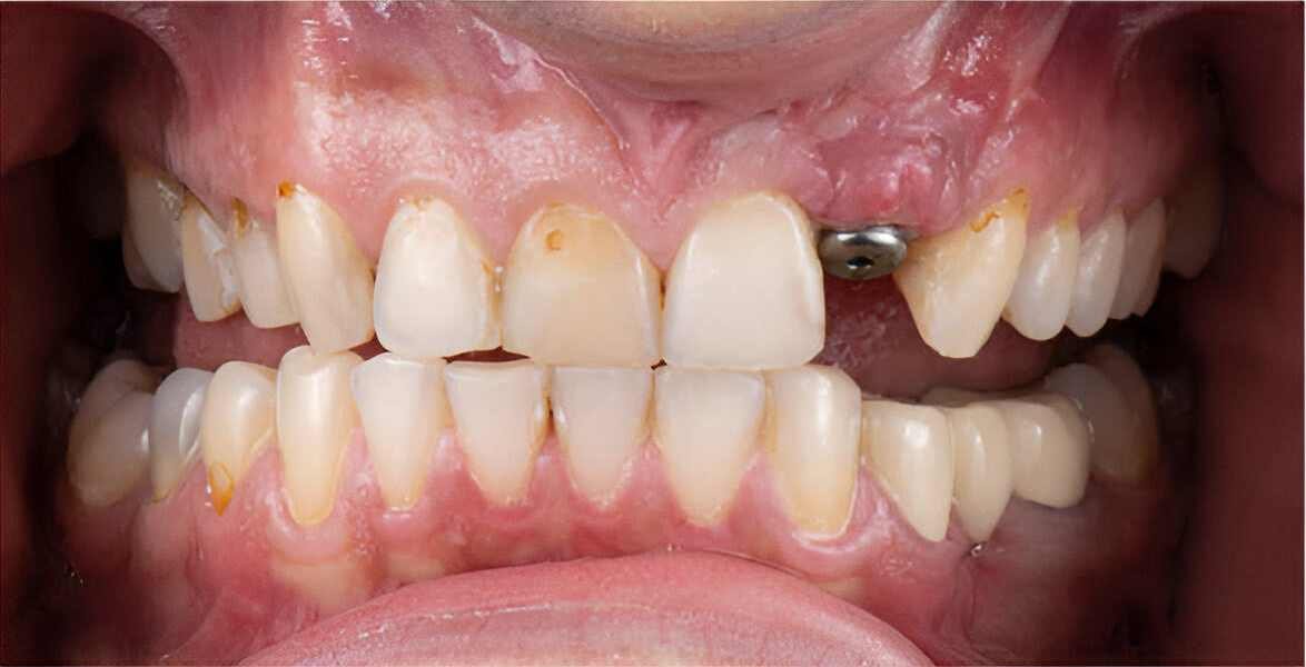
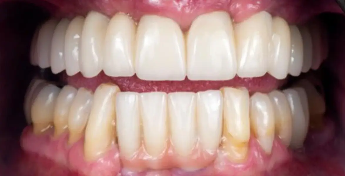
Before
After
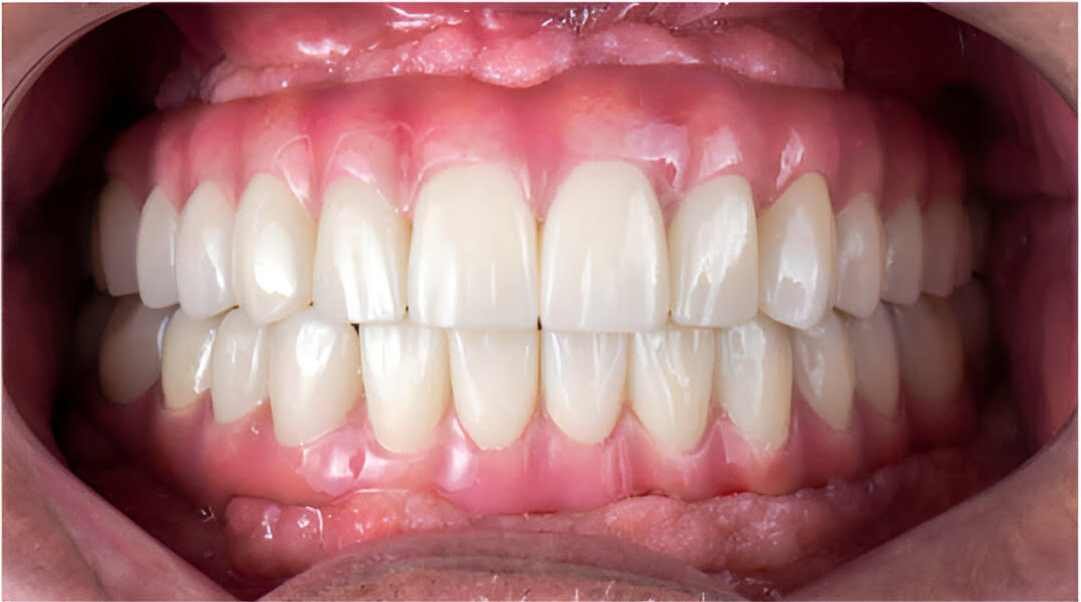
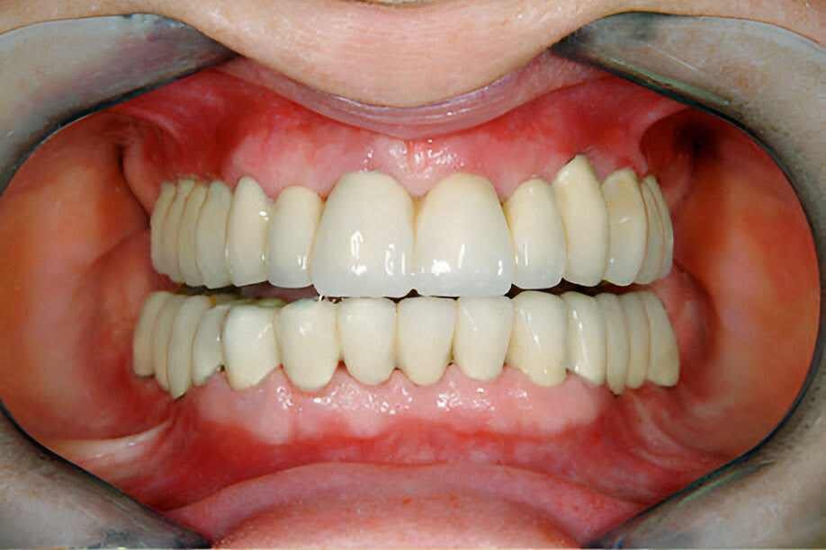
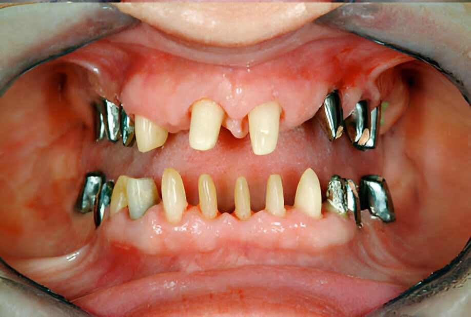
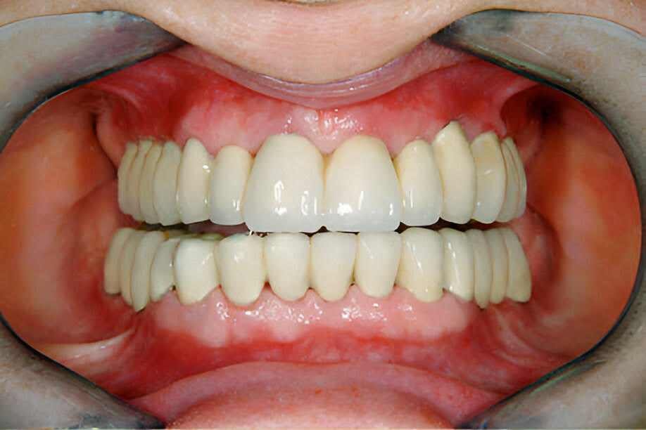
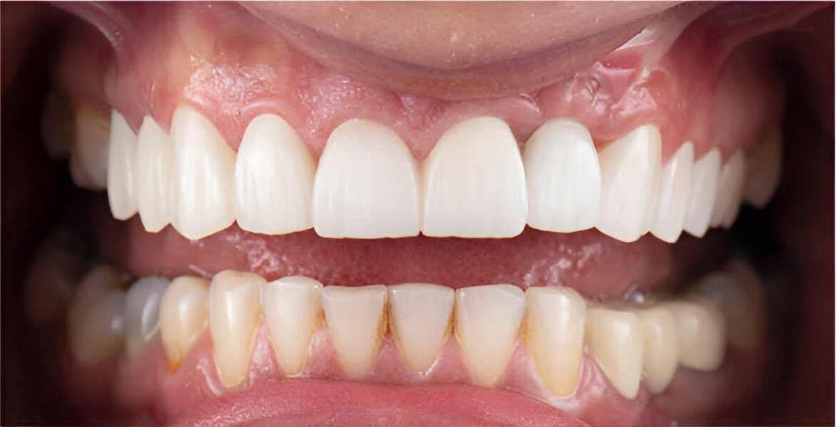
Before
After
Quality that Stands the Test of Time
Dental implant posts are crafted from premium-quality zirconia or titanium using advanced technology, ensuring longevity, strength, & true natural appearance that lasts. Their supreme quality is the factor that makes them survive decades, a perfect & smart investment in dental health & confident smile.
- Resist daily wear & decay
- Made from top-quality, biocompatible materials
- Maintain stability over time
- Manufactured for long-lasting functionality & performance
- Manage natural appearance
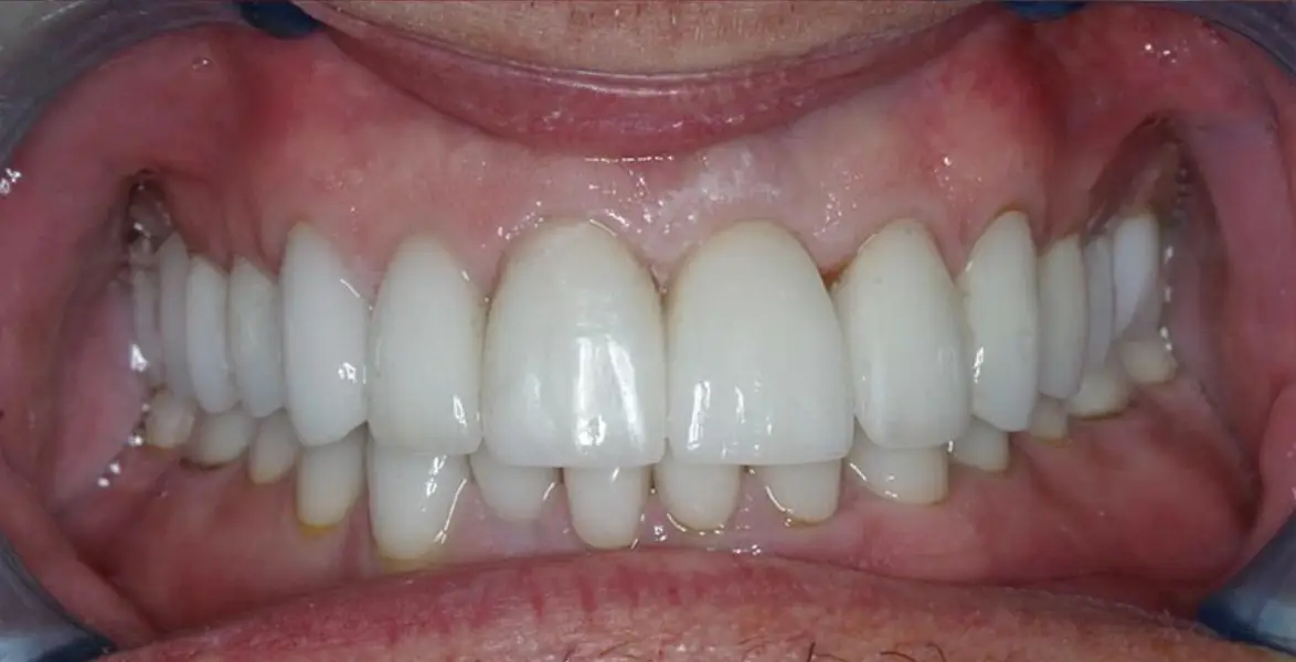
Before
After
Before
After
Before
After
Stock Night Guards
- Single-size fits easily, no adjustments
- Ready-made design available to use instantly
- Cost-effective & commonly available
- Zero customization or tools required
- Offers protection from teeth grinding
Boil and Bite Night Guards
- Reusable & sturdy
- Temperature-softened for a perfect fit
- Easy to mold to different tooth shapes
- Comfortable at-home adaptation
- Reasonable options
