Veneers Smile Designs
Redesigning Aesthetic Dentistry in Dubai
A symmetrical, bright smile is more than an apparent asset; it’s a universal metaphor for health, vitality, and appearance. Also, an aesthetically pleasing smile holds significant social & personal value. We understand every piece of your smile is a part of your spirit, which needs thorough attention while designing, specializing in the art of crafting a Smile that has your reflection.
Every smile has its unique features and individuality, artistry is all about designing a smile with its uniqueness and features that make it yours, designing a smile is fixing it for better & enhancing its aesthetics to pure beauty. It is possible because of reliable planning, expert artistry & high-end craftsmanship.
With Every Smile We Craft, We Help Our Patients to Shine Again
Veneers Smile Design is a restorative solution, used to design custom smiles according to the patient’s specific facial aesthetics, dental structure, & lifestyle. In contrast to cosmetic treatments that track one-size-fits-all ideologies; this restoration includes a wide-ranging analysis of facial proportions, teeth shape, lip line, symmetry & even traits of a character to craft a natural, precise, & pleasantly balanced smile.
Thin and durable porcelain veneers are applied on the surface of teeth to cover imperfections, for example, stains, chips, worn enamel, and gaps.
Veneer Smile Design – The Procedure
- Evaluate & determine gingival contours, tooth width, bite dynamics & lip mobility.
- After temporary veneers & customization, hand-crafted veneers are applied with sheer precision.
- The outcome is a flawless, brighter smile that improves facial harmony & feels like your own.
Preservation & Aftercare for Lifelong Results
- Aftercare program helps patients understand how to keep the strength & brightness of
veneers intact - Proper guidance includes diet, dental hygiene, & regular habits
- Daily professional hygiene, cleaning & follow-ups
- Customized advice provides a shield against stains, damage & wear
- Consistent team support guarantees a brilliant, new smile
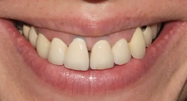
View Real Transformations
Before
After
Before
After
Before
